Explore more publications!

Technology News Journal: Press Releases

Browse our comprehensive archive of press releases by date.
Select a specific day to access all press releases published on Technology News Journal.

Press releases published on January 9, 2026

European Court Enforces EU MDR Rules on PRP Devices, Sending a Global Compliance Signal
Personal trainer Roma e nutrizionista Roma: cresce la domanda di percorsi integrati per benessere e forma fisica
Rhea Space Activity Nets U.S. Space Force Contract to Enhance AutoNav for Sustained Space Maneuvers
Novamigra Therapeutics Secures ~€3 Million Funding to Advance First-in-Human Study of Migraine Prophylaxis Asset VRG-145
DeepForest AI unlocks hidden forest layers
How roses rapidly recover from dehydration stress
A sugar signal that ages leaves: How sorbitol speeds up senescence in apple
M2MMA Appoints Columbia Sports Medicine Chief and Concussion Expert Dr. Thomas Bottiglieri to Advisory Board
Impact-resistant polyurea coating that senses damage in real time
Dr. Ian Weisberg Introduces Innovative Grant Opportunity for Aspiring Healthcare Professionals in 2026
Codes in the Cilia: New Study Maps How Cilk1 and Hedgehog Levels Sculpt Tooth Architecture
Chinese Neurosurgical Journal Study Explores Diagnostic Role of Brain Biopsy in Leukemia with CNS Involvement
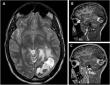
Chinese Neurosurgical Journal Reports Rare Hematoma Following Cyst Formation After AVM Radiosurgery
congatec expands its Computer-on-Module portfolio with 18 new product families
Chinese Neurosurgical Journal Study Shows Neuroform Atlas Stent-Assisted Coiling is Effective Even in Smaller Arteries
New multi-satellite dataset maps dynamic water storage changes across the Yangtze
AWS GPU cloud’s price increase underscores demand for transparency: Seeweb offers reliable European GPU Cloud Server
Sciensus names Julie Gosper as Managing Director, Rare & Specialty, to accelerate biopharma access to European markets
Thoracic Drainage Devices Market In 2029
LiThink Explains the Build Standards Behind Its 10-Year LiFePO₄ Warranty

Share us

on your social networks:
AGPs

Get the latest news on this topic.

SIGN UP FOR FREE TODAY

No Thanks

By signing to this email alert, you
agree to our Terms & Conditions